Studi dentistici Gentile
Casi clinici risolti con successo
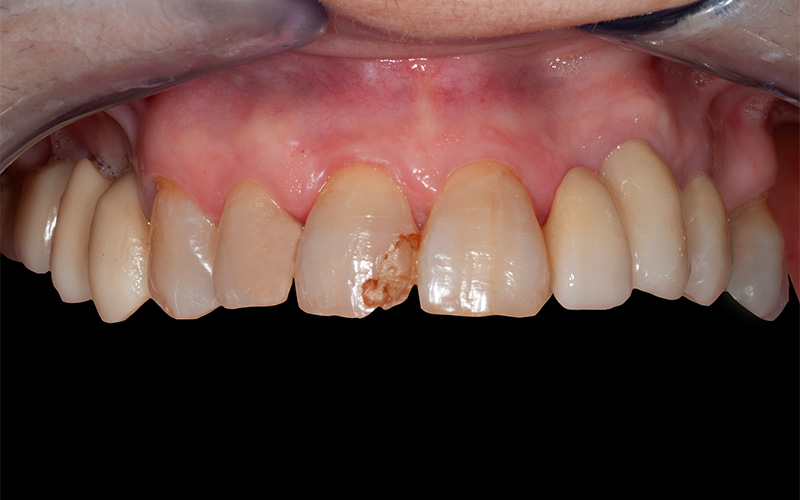
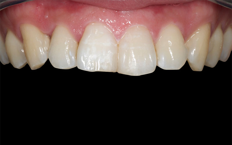
Trattamento: Odontoiatria conservativa
Appuntamenti: Trattamento in una sola seduta
Il paziente si è recato nel nostro studio con una carie nell’incisivo centrale. La sua richiesta era di levare il tessuto cariato e ricostruire il dente senza che si notasse la differenza con gli altri elementi. È molto importante utilizzare dei compositi altamente mimetici per ottimizzare il risultato.
Trattamento: Odontoiatria protesica
Appuntamenti: Trattamento in sole due sedute
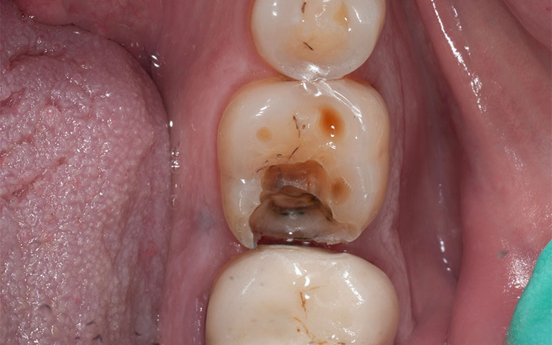
Il paziente si è presentato alla nostra osservazione con un molare inferiore ampiamente cariato. Poiché la carie comprendeva il punto di contatto con il dente vicino, gli è stato proposto un intarsio. Tale manufatto è una soluzione intermedia tra l’otturazione e una classica corona. Si lima e si prepara solo la porzione di dente mancante, si prende l’impronta digitale e il tecnico ricostruisce solamente la porzione di dente mancante.
Trattamento: Chirurgia implantare
Appuntamenti: Una sola seduta
La paziente si presentava alla nostra osservazione con quasi tutti gli elementi inferiori mobili, in quanto avevano perso i tessuti di sostegno. Dopo aver visto la quantità di osso residuo con una TAC, è stato pianificato il suo intervento in chirurgia computer guidata (utilizzando quindi una dima chirurgica con apposte logge per inserire gli impianti). Le sono stati inseriti quattro impianti inferiori, protesizzandoli nella stessa seduta. La paziente nella stessa giornata ha quindi: estratto i denti, messo gli impianti ed i denti provvisori.
Trattamento: Odontoiatria conservativa
Appuntamenti: Trattamento eseguita in una sola seduta
Il paziente aveva quattro carie cervicali (al margine tra gengiva e dente). Le carie in questa sede possono insorgere o per accumulo di placca o, altrimenti, per spazzolamento orizzontale ed eccessivamente frenetico. In questo caso, una volta rimosse le carie, sono state ricostruite con otturazioni estetiche. Si consiglia, una volta fatta un’otturazione di mantenerla sempre sotto controllo e fare una volta l’anno una lucidatura di quest’ultima.
Trattamento: Odontoiatria estetica
Appuntamenti: Trattamento eseguito in una sola seduta
La paziente, vedendosi allo specchio, non accettava i suoi diastemi (ovvero gli spazi tra i denti). Per casi come questi ci sono più opzioni: fare delle otturazioni estetiche in composito, applicare delle faccette in composito o delle faccette in ceramica. Le ultime due opzioni prevedono, talvolta, una limatura minima dei denti, le otturazioni invece non la prevedono. In questo caso la paziente ha optato per le ricostruzioni in composito. Si ottiene anche in questo modo un risultato mimentico in una sola seduta e senza toccare il dente.
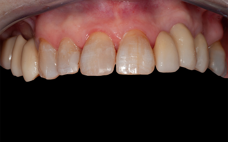
Trattamento: Odontoiatria protesica estetica
Appuntamenti: Trattamento eseguito in sole tre sedute
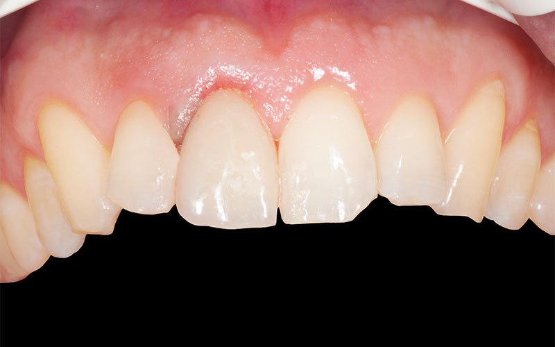
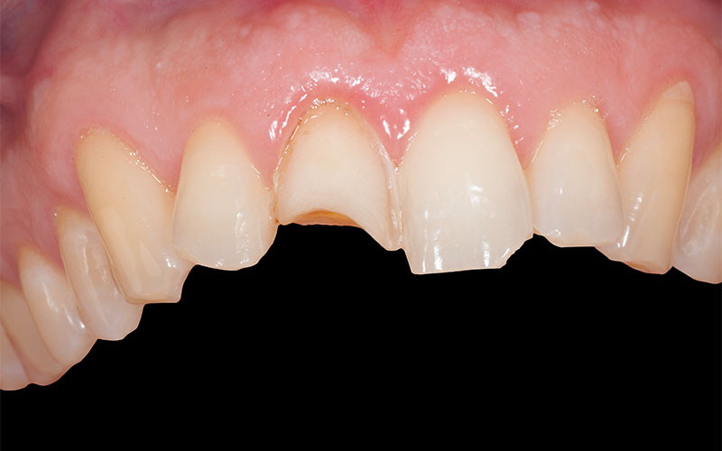
Il paziente si è recato nel nostro studio in seguito ad un trauma sull’incisivo centrale. Dopo aver constatato che la polpa non era interessata dall’evento, e che quindi non andava devitalizzato, si è proceduto con l’applicazione di una faccetta in ceramica. Questa è una soluzione più duratura rispetto ad una ricostruzione in composito. Un buon lavoro protesico infatti, in media, permane in arcata dai nove ai dodici anni.
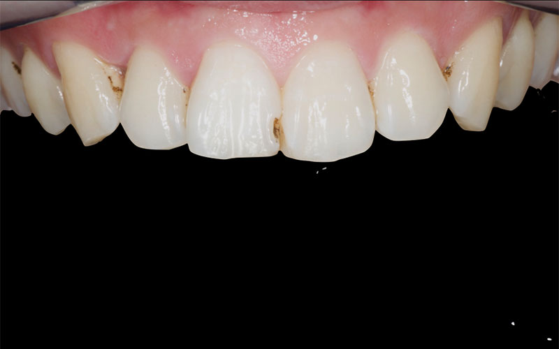
Trattamento: Odontoiatria conservativa
Appuntamenti: Una sola seduta
Il paziente è arrivato nel nostro studio con piccole formazioni cariose, ma multiple. Dovendo levare la carie e ricostruire nel settore anteriore il nostro obiettivo è quello di mimetizzare il più possibile il risultato finale. Questo è possibile anche grazie a compositi performanti. È fondamentale recarsi dal dentista una/due volte l’anno in modo che, così da poter intercettare tempestivamente ogni eventuale problema.
Trattamento: Odontoiatria conservativa
Appuntamenti: Trattamento eseguito in una sola seduta
Questa giovane paziente aveva una piccola carie occlusale (la parte del dente che entra in contatto con
l’arcata antagonista) del primo molare inferiore. Tali formazioni insorgono nella maggior parte dei casi per
un errato spazzolamento. È importante spazzolare tutte le facce dei denti ogni qualvolta ci si lava i denti,
così da evitare la formazione di carie. Trattamento eseguito in una sola seduta.
scegli la sede più comoda per te

Roma

